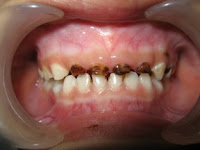
hallo bloggers… anda terganggu dengan gigi si kecil yang hitam-hitam seperti ini?
jangan kuatir…
klinik kami dapat mengatasinya dengan perawatan
“compomer crown”
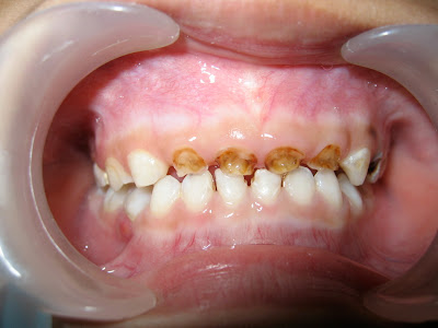
pertama-tama jaringan karies yang kehitam-hitaman
akan dibersihkan dahulu…
kemudian gigi dicocokan dengan crown / mahkota dari bahan plastik untuk menyesuaikan ukuran yang sesuai
gigi diaplikasikan dengan bahan khusus sebagai perekat antara gigi dengan bahan tambal
bahan tambal dimasukkan ke dalam mahkota plastik
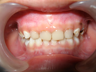
mahkota plastik yang sudah berisi tambalan membungkus gigi anak, lalu disinar dengan sinar khusus agar bahan tambal mengeras.
sim salabim… gigi si kecil dalam sekejap jadi putih…!!!
sekarang si kecil dapat tersenyum lebar tanpa malu2 karena giginya hitam… =D
Foto dan artikel kontribusi : drg. Melissa Antonia,SpKGA
This is an original article. Copying is allowed if you mention our Blog as the Source
Mengkopi artikel original ini diijinkan asalkan mencantumkan Blog kami sebagai sumbernya
This is an original article. Copying is allowed if you mention our Blog as the Source
Mengkopi artikel original ini diijinkan asalkan mencantumkan Blog kami sebagai sumbernya



