Hallo Bloggers…
Fenomena tergila-gila pada braces dan behel gigi rupanya gak cuma di Indonesia saja, tapi juga di FiIlipina, Thailand dan Amerika…
Dan fenomena ini disalahgunakan oleh penjual Online Shop yg ingin memanfaatkan ketidaktahuan & keinginan masyarakat ini…
Kalau kita mengunjungi media sosial seperti facebook, instagram, dll, banyak sekali yg menjual behel gigi, kawat gigi, bracket, karet dll…
Dengan hastag : #behelfashion, #behellepaspasang di instagram misalnya, kita langsung disajikan oleh berbagai perlengkapan behel gigi ala ala profesional oleh selusin Online Shop…
Banyak juga yg “mengaku” sebagai : Ahli behel gigi, bisa merapihkan gigi, membuat gigi palsu dll
Di Youtube banyak juga video tutorial “sesat” yg mengajarkan cara menutup celah gigi dengan karet loom band, dental floss dll dengan kata kunci DIY Braces (Do it Yourself Braces)
Saya dan drg.Priska Hendrawan,SpOrt pun sangat prihatin dengan keadaan ini, dan ingin mengedukasi masyarakat mengenai Bahaya Behel Gigi Online Shop. Apalagi kami juga pernah mendapatkan pasien salah satu korban DIY Braces ini…
Kami pun penasaran bagaimana sih orang-orang ini memasang behel tersebut, dan apa efeknya… dan hasil pencarian kami pun sangat mengejutkan dan cukup membuat ngilu.
Berikut ini kami share kan foto-foto akibat penggunaan behel gigi sembarangan, agar masyarakat mengerti atas bahaya yg mengintai…
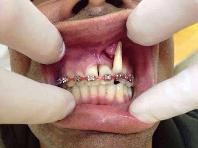
![]() |
| Contoh kasus pemuda yg membeli Behel gigi dan memasangkannya sembarangan (bukan oleh dokter gigi profesional), gigi rusak, bahkan lepas dari gusi. |
Dalam sebuah video tutorial di Youtube , seorang anak gadis remaja “mengajarkan” cara menutup celah pada gigi tengahnya dengan menggunakan karet loom band…
Namun apa yg terjadi?
Sebuah jurnal kedokteran gigi menunjukkan akibatnya : karet tergelincir masuk ke dalam gusi, dan merusak tulang penyangga gigi (gambar bawah).
Jangan mudah percaya kalau dikatakan celah gigi dapat menutup karena penggunaan karet ini.
Kasus serupa pernah kami jumpai di Kidz Dental Care & Orthodontic Clinic…
Seorang pasien datang dengan keadaan 2 gigi atas melorot, tonggos dan goyang parah setelah dipakaikan karet di kedua gigi depan atasnya yg renggang.
![]() |
| Pasien cilik ini jadi korban bullying di sekolahnya karena 2 gigi depan tonggos, melorot dan goyang, akibat memakai karet pada 2 gigi atasnya. Foto properti drg.Priska Hendrawan, SpOrt |
Beruntung pasien ini dirawat oleh tangan yg tepat…
Tim dokter gigi kami : Drg. Priska Hendrawan Sp.Ort dan drg. Victor Emmanuel, SpPerio bekerja sama merawat kasus yg sangat menantang ini dengan kombinasi ilmu Ortodonti dan Periodonsia (ilmu Jarigan Penyangga Gigi).
Akhirnya berkat kerja sama antara tim dokter gigi kami, pasien dan orangtua pasien, biaya yg tidak sedikit, waktu yg cukup lama, kasus ini dapat diselesaikan dengan baik, gigi berhasil diperbaiki dan dipertahankan posisinya.
![]() |
| Foto sebelum dan sesudah pasien korban DIY Braces. Pasien dan orangtua pasien sangat puas dengan hasil perawatan. Gigi dapat diselamatkan. Happy Ending 🙂 Foto properti drg. Priska Hendrawan, SpOrt |
Demikian sebagian contoh2 akibat pemasangan behel gigi sembarangan.
Berikut beberapa hal yg patut dipertimbangkan sebelum memasang behel gigi murah melalui online shop, ahli gigi , tukang gigi dll :
1. Ilmu Ortodonti (Menggerakkan Gigi) TIDAK mudah
Untuk menguasai ilmu menggerakan gigi (Ortodonti) secara benar dan sehat, dibutuhkan waktu minimal 8 tahun oleh seorang Ortodontis untuk menguasainya. Pendidikan Dokter Gigi umum minimal 5 tahun, dan Pendidikan Spesialis Ortodonsia minimal 3 tahun. Selama pendidikan tersebut seorang Ortodontis harus banyak membaca Textbook, Jurnal, praktikum pada model gigi dan merawat puluhan pasien…
2. Memasang Braket dibutuhkan presisi yg sangat tinggi
Untuk memasang braket gigi agar gigi dapat bergerak sesuai dengan keinginan dokter yg merawat, dibutuhkan presisi yg sangat tinggi. Tiap bracket gigi sudah di desain sedemikian rupa, sehingga bila dipasang tidak sesuai aturan, miring sedikit atau kelebihan beberapa mm saja efeknya sangat besar dan dapat mempengaruhi pergerakkan gigi…
Ibaratnya seperti orang yg baru belajar menyetir mobil, kalau sampai tertukar menginjak rem dan gas, berbahaya kan?
Jadi, tentunya dapat kita bayangkan seorang awam tanpa pendidikan dokter gigi sama sekali, memasang behel gigi ? Tidak heran mengakibatkan gigi lepas dan hancur seperti foto-foto diatas.
3. Mau hemat malah harus keluar uang lebih banyak
Selama ini alasan biaya selalu menjadi alasan orang-orang enggan melakukan perawatan behel gigi di Ortodontis. Biaya tinggi ini terntunya dapat dimaklumi karena tidak mudahnya perawatan ini, mahalnya alat-alat , lamanya pendidikan yg ditempuh seorang Ortodontis.
Karena alasan ini banyak orang yg mencari jalan pintas, dan mencari alternatiif yg jauh lebih murah.
Namun pernahkah kita membayangkan akibatnya jika gigi dirawat oleh tangan yg tidak kompeten, seperti yg terjadi pada foto-foto diatas ? Sudahkah kita tahu biaya yg harus dikeluarkan untuk mengoreksi perawatan yg salah tersebut ?
4. Tidak perlu ikut-ikutan trend
Saya mengerti bahwa sebagai remaja, merasa cute dan lucu kalau bisa pasang behel gigi warna warni… tapi kalau sampai gigi kita rusak dan lepas, gusi infeksi, tertusuk kawat behel gigi lepas pasang karena tidak sesuai rahang, pasti udah gak lucu dan cute lagi ya…
5. Menunggu dan Menabung
Kalau gigi kita tidak baik, namun saat ini kita belum memiliki biaya yg cukup untuk melakukan perawatan tersebut pada Ortodontis, saran saya adalah : menunggu dan menabung sampai kita bisa melakukan pada ahli yg kompeten.
Ya, perawatan Ortodonti ini toh tidak harus dilakukan segera, dengan susunan gigi berantakan kita masih tetap bisa makan dan mengunyah dengan enak, tidak menimbulkan rasa sakit dan tidak mengancam nyawa kita kan?
Berbagai tips memilih Ortodontis yg tepat dapat dibaca di artikel : Teliti sebelum pasang kawat gigi
6. Rumah Sakit Pendidikan Fakultas Kedokteran Gigi
Oke…. bila anda sudah sangat gemas dengan susunan gigi yg berantakan, tidak bisa menunggu dan ingin segera memperbaikinya, namun biaya terbatas…
Yuk pergi ke Rumah Sakit Pendidikan di Fakultas Kedokteran Gigi terdekat… disana perawatan Ortodonti akan dilakukan oleh dokter gigi yg sedang dalam masa pendidikan Spesialis Ortodontik, dan diawasi oleh para Dosen yg terdiri dari : Profesor, Doktor, drg Spesialis Ortodonti lulusan dalam dan luar negeri.
Biaya perawatan Ortodonti di RS ini biasanya dibawah tarif drg yg sudah Spesialis Ortodonti.
Demikian sharing pengalaman dan edukasi yg dapat kami berikan… semoga dapat berguna untuk anda yg saat ini sedang merencakan memasang behel gigi 🙂
Buat penjual Online Shop atau penyedia jasa pasang behel gigi, sadarilah akibat dari produk & jasa yg anda jual untuk masyarakat. Masih banyak kok produk dan jasa lain yg dapat kita jual di Online Shop tanpa merugikan masyarakat 😉
Salam gigi sehat dan cantik! 😀






