Halo moms, taukah moms bila gigi susu anak sudah mulai dibentuk saat dalam kandungan ibu. Proses mineralisasi gigi anak bahkan sudah dimulai sejak 4 bulan usia kandungan. Pada masa-masa ini asupan dan kesehatan ibu sangat berpengaruh terhadap kualitas gigi anak.
Gangguan kesehatan ibu, kurangnya asupan mineral yang cukup, faktor keturunan atau genetik, dapat mempengaruhi pembentukan dan kualitas email gigi. Selain itu kondisi kesehatan anak saat lahir juga berpengaruh. Bayi yang lahir prematur dengan kadar bilirubin yang tinggi misalnya, dapat menyebabkan diskolorasi atau gigi berwarna.
Yuk kita kenali beberapa kelainan tumbuh kembang gigi anak yang sering terjadi :
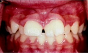
- Hipoplasia enamel
atau email adalah kondisi tidak sempurnanya struktur enamel, email rapuh dan rentan patah atau terkena karies. Biasanya disebabkan karena faktor lingkungan seperti : kekurangan vitamin, kekurangan nutrisi selama kehamilan, paparan penyakit, dan faktor genetik. Akibatnya, tampilan gigi tidak seputih orang normal lainnya dan sering kali muncul bintik-bintik kasar berwarna cokelat dan juga kuning.
Nah, apabila pada gigi anak mengalami hal seperti ini, maka resiko terkena karies akan lebih tinggi, sehingga perlu konsultasi dan tindakan esktra. Oleh sebab itu disarankan agar mulai usia 1 tahun, anak mulai dibawa cek ke dokter gigi anak. Selain itu jika orangtua menemukan adanya keanehan pada gigi anak, seperti bercak keputihan, kekuningan sampai kecoklatan pada gigi balita, sebaiknya segera cek ke dokter gigi terdekat. Jika kelainan tersebut diketahui sejak dini, maka orangtua dapat mengambil langkah-langkah mencegah karies gigi.
- Amelogenesis Imperfecta
Amelogenesis Imperfecta merupakan kelainan bawaan yang tampak sebagai perubahan pengaturan pada struktur gen yang berhubungan dengan email. Pada kelainan ini, email terlihat normal. namun ternyata tipis, berlubang-lubang, beralur, dan memiliki struktur tidak sempurna.
- Gigi Berlebih (Supernumerary Teeth)
Supernumerary teeth adalah gigi yang berkembang melebihi jumlah normal, dan gigi yang berkembang tersebut dapat normal secara morfologis, atau abnormal. Supernumerary teeth yang terletak diantara dua gigi depan atas disebut mesiodens. Faktor penyebabnya berasal dari herediter atau keturunan.
Jika anak mengalami hal ini, maka orangtua tidak perlu kuatir. Periksakan anak ke dokter gigi, biasanya dokter kana melakukan rontgen panoramik terlebih dahulu untuk memastikan gigi berlebih dan benih gigi tetap lainnya. Tindakan selanjutnya biasanya adalah mencabut gigi berlebih.
- Diskolorasi Gigi
Bayi yang terlahir prematur seringkali memiliki bilirubin yang tinggi (hyperbilirubinemia) dan beresiko terkena penyakit kuning (jaundice). Kondisi bilirubin yang tinggi dapat mengakibatan perubahan warna pada gigi, disebut sebagai diskolorasi gigi. Biasanya gigi menjadi berwarna hijau atau sering disebut green teeth.
Jika orangtua menemukan keadaan ini pada anak, maka segera konsultasikan dengan dokter gigi terdekat, untuk mengecek apakah hanya warna yang terpengaruh, atau apakah disertai juga dengan pembentukan kualitas email yang kurang sempurna, sehingga gigi rapuh dan rentan karies.
- Fusi Gigi
Fusi gigi merupakan hasil dari penggabungan dua benih gigi yang sedang berkembang. Beberapa peneliti mengatakan bahwa fusi merupakan hasil ketika dua benih gigi berkembang sangat dekat dan, ketika mereka tumbuh, mereka akan berkontak dan berfusi atau bergabung.
Kelainan ini tidak memiliki efek apapun, sehingga tidak perlu tindakan lanjut.
- Geminasi
Geminasi merupakan anomali yang terjadi ketika satu benih gigi mencoba untuk membelah. Hasilnya dapat berupa pembelahan sebagian atau, pada kasus yang jarang terjadi, pembelahan sempurna dari mahkota sampai akar, menghasilkan struktur yang identik.
Kelainan gigi ini juga tidak memiliki efek apapun sehingga tidak memerlukan tindakan lebih lanjut. Jika bentuk gigi dirasa aneh dan menganggu estetik, konsultasikan dengan dokter gigi terdekat, opsi apa yang dapat dilakukan untuk memperbaikinya.
Nah, coba yuk cek moms apakah gigi anaknya mengalami salah satu dari beberapa kelainan tumbuh kembang gigi yang sudah dijelaskan? Bila iya, jangan ragu untuk segera mengkonsultasikan dan memeriksakan gigi anaknya ke dokter gigi Kidz Dental Care and Orthodontic Clinic yah moms !
Yuk share artikel ini moms bila dirasa bermanfaat.
[push h=”30″]
Sumber:
https://www.stanfordchildrens.org/en/topic/default?id=nursing-bottle-caries-
Mary Bath, Balogh and Margaret J. Fehrenbach. Dental Embriology, Histology, and Anatomy. 2nd Ed. Elsevier Saunders : USA. 2006.
Stuart C. White and Michael J. Pharoah. Oral Radiology Principles and Interpretation. 6th Ed. Mosby Elsevier : St. Louis. 2009.
https://kidzdental.co.id/2013/05/apakah-asi-menyebabkan-gigi-anak-berlubang/
https://www.ncbi.nlm.nih.gov/pmc/articles/PMC2814013/
https://www.ncbi.nlm.nih.gov/pmc/articles/PMC6050743/
[inline_divider type=”1″]
Ditulis oleh : drg Laila Novpriati & drg Melissa Antonia, Sp.KGA

Nah, apabila pada gigi anak mengalami hal seperti ini, maka resiko terkena karies akan lebih tinggi, sehingga perlu konsultasi dan tindakan esktra. Oleh sebab itu disarankan agar mulai usia 1 tahun, anak mulai dibawa cek ke dokter gigi anak. Selain itu jika orangtua menemukan adanya keanehan pada gigi anak, seperti bercak keputihan, kekuningan sampai kecoklatan pada gigi balita, sebaiknya segera cek ke dokter gigi terdekat. Jika kelainan tersebut diketahui sejak dini, maka orangtua dapat mengambil langkah-langkah mencegah karies gigi.
Jika anak mengalami hal ini, maka orangtua tidak perlu kuatir. Periksakan anak ke dokter gigi, biasanya dokter kana melakukan rontgen panoramik terlebih dahulu untuk memastikan gigi berlebih dan benih gigi tetap lainnya. Tindakan selanjutnya biasanya adalah mencabut gigi berlebih.
Jika orangtua menemukan keadaan ini pada anak, maka segera konsultasikan dengan dokter gigi terdekat, untuk mengecek apakah hanya warna yang terpengaruh, atau apakah disertai juga dengan pembentukan kualitas email yang kurang sempurna, sehingga gigi rapuh dan rentan karies.
Kelainan ini tidak memiliki efek apapun, sehingga tidak perlu tindakan lanjut.
Kelainan gigi ini juga tidak memiliki efek apapun sehingga tidak memerlukan tindakan lebih lanjut. Jika bentuk gigi dirasa aneh dan menganggu estetik, konsultasikan dengan dokter gigi terdekat, opsi apa yang dapat dilakukan untuk memperbaikinya.


